
Rimozione Chirurgica di Spinalioma
Chi si occuperà di te?
L’équipe di specialisti del Poliambulatorio Finazzi ti accompagnerà in ogni fase del percorso di cura, con professionalità e attenzione alla persona, per assicurare benessere, sicurezza e risultati efficaci.
Chirurgo Estetico a Bergamo
Il meglio per la rimozione di spinaliomi (o carcinoma spinocellulare)
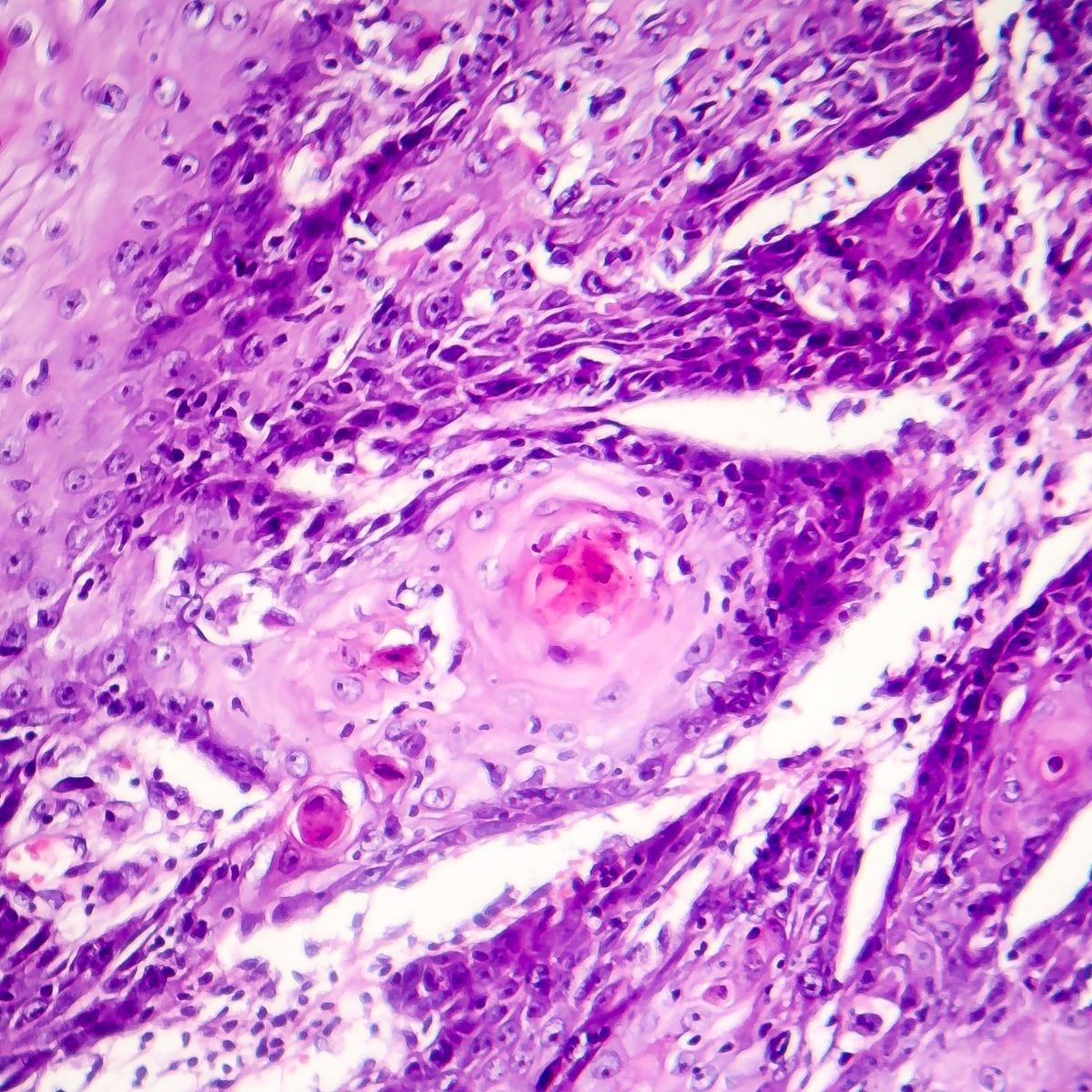
SPINALIOMA
Il carcinoma spinocellulare (SCC), noto anche come spinalioma, è un tipo di carcinoma della pelle che origina dalle cellule squamose, le quali compongono la maggior parte degli strati superiori dell’epidermide. È il secondo tipo più comune di carcinoma della pelle, dopo il carcinoma basocellulare.
Caratteristiche Principali
Origine e Sviluppo: Si origina e sviluppa in genere in seguito a danni al DNA delle cellule cutanee causati da esposizione prolungata ai raggi ultravioletti (UV) del sole o di altre fonti (ad esempio lettini abbronzanti).
Aspetto Clinico: Si manifesta spesso come una lesione rossa, squamosa o crostosa che può ulcerarsi e sanguinare.
Localizzazione: Comune in aree esposte al sole come viso, orecchie, collo, labbra, mani e avambracci.
Fattori di Rischio:
- Esposizione cronica ai raggi UV.
- Pelle chiara, che brucia facilmente al sole.
- Età avanzata.
- Immunosoppressione (ad esempio, pazienti trapiantati).
- Esposizione a sostanze chimiche come l’arsenico.
- Infezioni da papillomavirus umano (HPV).

RIMOZIONE SPINALIOMA
Anestesia Locale
Iniezione di Anestetico: Analogamente alla rimozione di neoformazioni, viene utilizzata un’iniezione di anestetico locale, come la lidocaina, per intorpidire l’area.
Analisi di Laboratorio
Potrebbe essere eseguita una biopsia preliminare per confermare la diagnosi di basalioma o spinalioma e per pianificare la rimozione chirurgica.

PROCEDURA CHIRURGICA
I passaggi chirurgici seguono gli stessi principi descritti per la rimozione delle neoformazioni, con particolare attenzione alla rimozione completa del tumore e mantenimento di margini di sicurezza per prevenire recidive.
Durante l’intervento, viene assicurata la rimozione di un adeguato margine di sicurezza di tessuto sano intorno al tumore per garantire l’assenza di cellule tumorali residue.

ANALISI ISTOLOGICA
- Invio del Campione: Il tessuto rimosso viene inviato al laboratorio di anatomia patologica per l’analisi istologica.
- Preparazione e Conservazione: Il campione viene conservato in formalina e accompagnato da un modulo di richiesta che descrive dettagli clinici e la localizzazione.
- Esame e Rapporto: Il laboratorio esegue l’esame istologico per confermare la completa rimozione del tumore e fornire un rapporto dettagliato al chirurgo.
Prevenzione
- Protezione solare: Uso regolare di creme solari con alto fattore di protezione (SPF), indumenti protettivi e occhiali da sole.
- Evitare l’esposizione ai raggi UV: Limitare l’uso di lettini abbronzanti e ridurre l’esposizione diretta al sole, soprattutto nelle ore di punta.
- Controlli dermatologici regolari: Particolarmente importante per individui ad alto rischio.
Il carcinoma spinocellulare, sebbene potenzialmente serio, può essere trattato con successo se diagnosticato precocemente. La prevenzione e la consapevolezza sono fondamentali per ridurre il rischio di sviluppo di questa forma di carcinoma della pelle.







