
Conservativa Dentale
Chi si occuperà di te?
L’équipe di specialisti del Poliambulatorio Finazzi ti accompagnerà in ogni fase del percorso di cura, con professionalità e attenzione alla persona, per assicurare benessere, sicurezza e risultati efficaci.
Che cos’è la Conservativa Dentale?
La Conservativa Dentale è la branca dell’odontoiatria che si occupa della diagnosi e della gestione delle lesioni dentali, come carie e fratture. Questa disciplina utilizza diverse tecniche e trattamenti per ripristinare la struttura dentale danneggiata e preservarla nel tempo.
La Conservativa Dentale è una parte fondamentale dell’odontoiatria che si concentra sulla prevenzione e la cura delle lesioni e dei danni ai denti. Questa disciplina mira a conservare la struttura dentale naturale il più a lungo possibile, preservando la funzionalità e l’estetica dei denti. La conservazione dentale è di vitale importanza per mantenere un sorriso sano ed evitare interventi più invasivi.

Di cosa si occupa la Conservativa Dentale?
Le procedure di conservativa dentale includono:
-
Riempimenti dentali: La rimozione della carie seguita dalla riparazione del dente con materiali compositi o amalgama. Questa procedura ripristina la forma e la funzione del dente.
-
Corone dentali: Quando un dente è gravemente danneggiato o indebolito, una corona dentale può essere posizionata per coprire e proteggere il dente, ripristinandone la forza e l’aspetto.
-
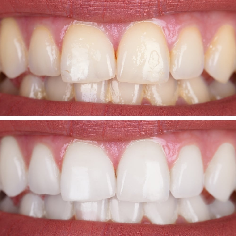
Sbiancamento dentale: Per eliminare macchie e sbiancare i denti, la conservativa dentale offre opzioni di sbiancamento sicure ed efficaci.
-
Endodonzia (devitalizzazione): Quando una carie raggiunge la polpa dentale, potrebbe essere necessario un trattamento canalare (devitalizzazione) per salvare il dente.
La Conservativa Dentale è cruciale per mantenere una bocca sana e prevenire l’ulteriore deterioramento dei denti. Riparando i danni precocemente, si previene la necessità di procedure più invasive come l’estrazione dentale.
Come viene svolta la visita di Conservativa Dentale?
Durante una visita di Conservativa Dentale, il nostro esperto odontoiatra eseguirà una valutazione completa della vostra bocca. Ecco come di solito si svolge la visita:
-
Storia clinica: Inizieremo raccogliendo informazioni sulla vostra storia clinica e sui sintomi attuali. Comunicate eventuali disagi o dolore che potreste avvertire.
-
Esame visivo: L’odontoiatra esaminerà attentamente i vostri denti, utilizzando strumenti come lo specchio dentale e la luce per individuare eventuali lesioni, carie o fratture.
-
Radiografie: In molti casi, saranno eseguite radiografie dentali per ottenere una visione più dettagliata della salute dei vostri denti e delle strutture sottostanti.
-
Discussione del piano di trattamento: Dopo l’analisi completa, il vostro odontoiatra discuterà con voi delle opzioni di trattamento disponibili, spiegando i vantaggi e gli svantaggi di ciascuna.
-
Pianificazione del trattamento: Una volta concordato il piano di trattamento, verranno fissate le date per le procedure necessarie. Il vostro odontoiatra vi fornirà anche informazioni sulle precauzioni post-trattamento e sulle cure domiciliari.

Norme di Preparazione per la Visita di Conservativa Dentale
La preparazione per la visita di Conservativa Dentale è essenziale per garantire un esame accurato e la scelta del trattamento più appropriato. Ecco alcune norme di preparazione da seguire:
- Igiene orale: Mantenete una buona igiene orale, spazzolando i denti almeno due volte al giorno e utilizzando il filo interdentale regolarmente per rimuovere i residui alimentari e la placca.
- Storia dentale: Prima della visita, prendete nota di qualsiasi sintomo o problema dentale che avete riscontrato. Queste informazioni aiuteranno il vostro odontoiatra nella valutazione.
- Anamnesi medica: Comunicate qualsiasi condizione medica, allergie o farmaci che state assumendo al vostro odontoiatra. Queste informazioni sono importanti per una valutazione completa.
- Domande e preoccupazioni: Prima della visita, scrivete una lista di domande o preoccupazioni da discutere con il vostro odontoiatra. Questo vi aiuterà a ottenere le risposte di cui avete bisogno durante la visita.
- Documentazione: Portate con voi eventuali documenti dentali precedenti, come radiografie recenti o referti, per consentire al vostro odontoiatra di avere una visione completa della vostra storia dentale.
Prepararsi adeguatamente per la visita di Conservativa Dentale contribuirà a rendere l’esperienza più efficace ed efficiente. Il nostro team di professionisti è qui per fornirvi la migliore cura dentale possibile. Non esitate a contattarci per fissare una visita e per discutere delle vostre esigenze dentali specifiche.






